目次
歯ぎしり・食いしばり

- 口を大きく開けようとしても、こわばって開かない。
- 口の開け閉めの時にガクガクと音がする。
- あごの周りの筋肉や関節が痛い。
- あごの周りの筋肉や関節が痛い。
上記のような顎や体の不調を感じたことがある方も多いのではないでしょうか?これらの症状は、顎関節症が原因となっているケースも多く、最近では若い女性の間で急速に増えています。
顎関節症になってしまう原因はさまざま。従来までは噛み合わせの悪さが原因とされていましたが、最近では歯ぎしりや食いしばりなどといった顎に負担がかかる日常生活での動作も大きな原因になっていると言われてます。
特に精神的なストレスを大きく感じる時は歯を食いしばる癖が出やすく、歯や顎への負担が増してしまいます。ストレス社会と言われる現代において、完全にストレスをなくす生活を送ることは不可能ですが、ストレスと上手に付き合えるよう工夫するとともに、歯や顎をストレスから守るための対策をしっかりと行うことが大切です。
歯ぎしり、食いしばりは、さまざまなトラブルを引き起こします。
歯ぎしりや食いしばりをしているという事は、自分ではなかなか気が付かないものです。日中、無意識のうちに行っている食いしばりはもちろん、夜間に行われる歯ぎしりも音が鳴りにくいタイプのものもあり、ご家族やパートナーの方であっても気が付かないことも多くあります。
「音が鳴らなければ周りに迷惑をかけないので、急いで治療をしなくても大丈夫」と思われる方もいらっしゃるかもしれませんが、食いしばりや歯ぎしりは、自分が思っている以上に歯や顎に大きな負担をかけているもの。

放っておくと、歯のすり減りや動揺、歯周病の悪化、顎関節症の発症といったお口周りの問題だけではなく、頭痛や肩こり、倦怠感などといった全身の問題に発展してしまうことも少なくありません。
早い段階で治療をした方が、治療にかかる費用も時間も少なくて済みますので、心当たりのある方は早めにご相談にいらしてください。
あなたのお口にこんな信号は出ていませんか?
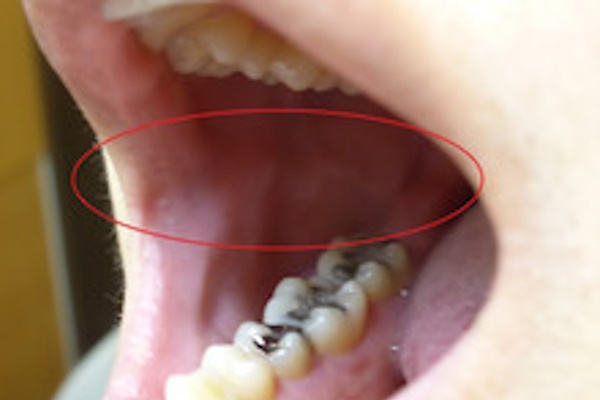
頬や舌の圧痕
また、同じように舌の両脇にも歯痕と呼ばれる歯型の痕が付きます。
圧痕自体は特に害のあるものではなく、食いしばりが解消されれば自然と消えてなくなります。

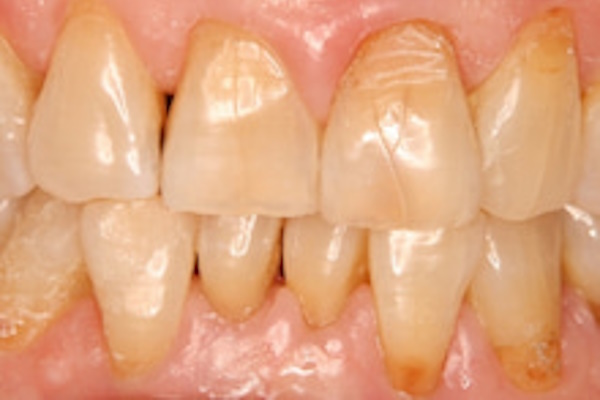
亀裂(クラック)
その亀裂は、目に見えるほど大きなものから、肉眼では確認できないほどの小さなものまでさまざまです。
その小さなヒビから虫歯菌が侵入して虫歯になってしまったり、最悪の場合は歯が割れて、抜歯しなければいけなくなってしまうケースもあります。

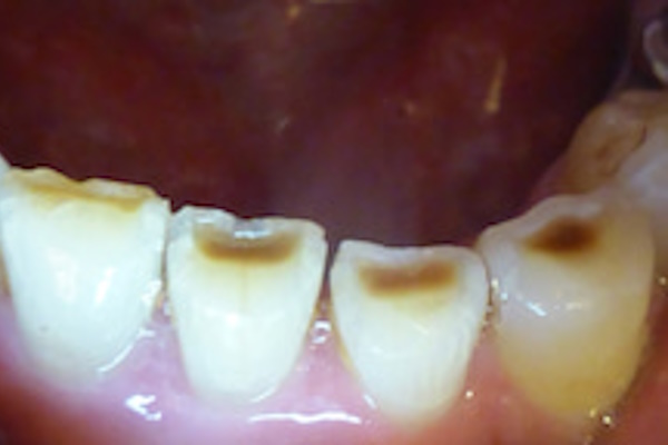
歯のすり減り
症状が進行すると、表面のエナメル質が削れて歯の中の象牙質が見えてきてしう場合もあり、虫歯や知覚過敏を引き起こしてしまう原因になります。

骨隆起(こつりゅうき)/外骨症(がいこつしょう)
食いしばりや歯ぎしりが強い方に多く見られる症状で、顎の骨に過度の力が加わり、その刺激によって骨が盛り上がってできると言われております。
骨隆起は痛みを伴うものではなく、また病的なものでもありませんので放置していても問題はありませんが、徐々に大きくなっていきますので、発音や飲食に支障が出るようでしたら切除する必要があります。

楔状欠損(くさびじょうけっそん)
歯の表面を守るエナメル質が欠損してしまうため、冷たいものがしみるなどの知覚過敏の症状も出てくることが多くあります。
また、歯の生え際の部分に発生するために目に付きやすく、審美的な問題にもつながってしまいます。

くさび状欠損から亀裂に発展し、破折につながるというケースもありますので、なるべく早く原因を追求し、強い咬合力からいかに歯を守るかを考えなければなりません。
当院での治療法
SPP(スーパーパラタルプレート)※上顎用

SPP(スーパーパラタルプレート)は、上顎の歯並びの根元の部分に合うように作る装置です。SPPを使用することで、舌が上顎の歯並びの根本に位置するよう促してくれます。また、SPPを使って舌の位置を正しい位置にする治療行うことで、呼吸の改善、鼻呼吸への誘導、睡眠時無呼吸症候群の予防なども期待できます。
SLP(サブリンガルプレート)※下顎用

SLP(サブリンガルプレート)とは、日本歯科大学名誉教授の丸茂義二先生が考案された、歯ぎしりや食いしばり・睡眠時無呼吸症候群などを効果的にコントロールするための装置です。下顎の内側に装着する、小さな入れ歯に似た形で、低位舌になっている舌を前方に押し出すことができます。このことによって、歯ぎしり・食いしばりの軽減が期待できます。小さくできていますので入れ歯のような異物感なく使用できます。SLPは舌の下に入れて使用するタイプの装置ですので、睡眠時だけではなく、日中も装着したままで過ごすことができます。
FNAP
FNAPは、SPP、SLP、Michaelの効果をすべて備えています。24時間の装着で期待できる効果として、発音、咀嚼、嚥下障害の解消、呼吸促進、体幹強化、脳活動促進、追視機能向上、メンタル改善、顎関節症状の軽減、正常口腔機能の回復などがあります。口腔内を分析し、正常から逸脱した状態を修正することができる装置です。正常な口腔機能を取り戻すことで、口腔内の正常な動きが生まれ、不良な口腔内からは不良な口腔機能しか生まれないという原理に基づいています。装置は異物感をほとんど感じさせず、正常な口腔形態環境を目指して設計されています。口腔機能を阻害せず、正常な口腔機能を促進することが目的です。顎関節中心の骨格運動は、肉食のための動きであり、舌機能は必要ないため、正常な発育が妨げられます。正常な口腔内機能で筋格を正常に働かせることが装置の目標です。


B B ( B r a i n B o o s t e r )
丸茂義⼆先⽣が考案された⻭ぎしりや⾷いしばり・睡眠時無呼吸症候群などを効果的にコントロールするための装置です。 歯ぎしりや食いしばり・睡眠時無呼吸症候群などを効果的にコントロールするための装置です。装置は異物感をほとんど感じさせず、正常な口腔形態環境を目指して設計されています。口腔機能を阻害せず、正常な口腔機能を促進することが目的です。顎関節中心の骨格運動のみでは、肉食のための動きであり、舌機能が必要とされないため、正常な発育が妨げられてしまいます。正常な口腔内機能で筋格を正常に働かせることがこの装置の目標です。
SPP(スーパーパラタルプレート)SLP(サブリンガルプレート)など数々の治療具を考案してこられた丸茂教授の考案した「BB」は、SPP/SLPのメリットを兼ね備えます。BBを装着すると、⾆の位置が改善することにより咽頭腔が広がって、頚椎の歪みを取り除き脊椎反射を正常化することで呼吸の質を⾼めたり、⻭ぎしり・⾷いしばり、いびき・睡眠時無呼吸症
候群を抑制する効果があります。24時間の装着で期待できる効果として、呼吸促進、発⾳、咀嚼、嚥下障害の解消、体幹強化、脳活動促進、追視機能向上、メンタル改善、顎関節症状の軽減、常⼝腔機能の回復などがあります。⼝腔内を分析し、正常から逸脱した状態を修正することができる装置です。BBを使⽤した治療では、患者様お⼀⼈おひとりに合わせた装置を、⻭科技⼯⼠が精密に製作します。
⼀般的なマウスピースの違いとして、BBでは装着すると⾆の位置、下顎の位置が改善され、様々な効果が期待できます。またBBではスプリントのように噛み合わせの位置や⾼さを変えることは
ありません。スプリントやマウスピースでは、顎位のズレが起きてしまうことがあります。つまりBBでは噛み合わせの位置や⾼さを変えることなく治療が可能です。BB治療は丸茂教授より直接の指導・研修を受けた研鑽意識の⾼い医師のみが提供可能な治療法です。従ってプレートの製作も特別な訓練を受けた⻭科技⼯⼠のみに認められています。この技術を持つ技⼯⼠は、現在の⽇本においては極めて限られた⼈数しか存在しません。メディプラングループではこれらの認定を受けた医師・⻭科技⼯⼠が常駐しております 。
ボトックス療法
ボトックス治療とは、ボツリヌス菌から抽出されるたんぱく質の一種を過度に緊張している筋肉に注射することで、一時的に緊張をほぐす治療法です。歯ぎしりや食いしばり、顎関節症などの症状を抱えている患者様は、咬筋(主に食べ物を噛む時になどに使われる筋肉)が過度に緊張し、必要以上に発達している傾向があります。
咬筋の肥大は、ほおっておくと顎の痛みや血行不良、ストレス、頭痛、肩こり、エラ張り、むくみなど、さまざまなトラブルを引き起こしてしまうため、ボトックス注射により緊張をほぐし、症状を緩和してあげることが有効となります。

また、ボトックスは、脳が筋肉に運動することを命令する「神経伝達物質(アセチルコリン)」の働きを阻止する働きもあります。睡眠時に歯ぎしりをしている方の場合、この神経伝達物質が無意識のうちに働いてしまっている傾向があるため、ボトックス注射によりその働きを抑制することで歯ぎしりを防止することが出来ます。
ボツラックスは、韓国のHugel社が製造したA型ボツリヌス毒素を含む製品です。韓国食品医薬品安全庁(KFDA)によって認可され、その安全性が保証されています。ボツラックスは、アラガン社のボトックスビスタのジェネリック医薬品であり、治療費を抑えることができるという特徴もあります。
1カ所5分ほどで終わる手軽さが特徴です。効果は個人差がありますが半年程度で、繰り返し行うことで持続時間や効果も高まります。
費用
[table “31” not found /]ナイトガード(マウスピース)
ナイトガードは、歯ぎしりそのものを防ぐのではなく、歯ぎしりによる莫大な力によって歯が破壊されてしまうのを防ぐためのものですので、歯ぎしりや食いしばりの根本的な解決にはなりませんが、症状を緩和するという意味では有効な手段かと思います。

保険適用の範囲内で作成できるタイプのものもありますので、3割負担の方でしたら5,000円程度で作成することができます。
脳歯科療法(Oリング療法)

脳歯科療法は、Oリングテストや肩関節や股関節、膝の柔軟性、筋力などの診査で口腔内の影響を取り除く治療です。写真は Oリングテストを行っているところです。
写真の患者様は他院にてブリッジを入れてもらってからふらつくということで来院されました。オーリングテストにてブリッジの舌で触る側に反応が出たので調整をしました。その後数分で改善し喜んでお帰りになられした。不定愁訴でお悩みの方は、原因は口腔内にあるかもしれません。
脳歯科療法とは
脳歯科療法とは「口腔からの刺激が他の領域に比べ圧倒的に脳を刺激する。」ということから、口腔周囲から脳に向かう有害な刺激を除去し、いい刺激を送り込むことで脳機能を改善するというものです。「歯科治療は脳治療である。」これが脳歯科療法の概念です。
口腔周囲からの異常刺激が続くと脳が異常な反応を起こすのであれば、口腔周囲からの異常刺激を遮断すればいいということになります。腰痛に限らず、膝関節痛や肩関節痛など意外に多くの痛みの原因が脳の機能異常から誘発されている可能性、そしてその機能異常が三叉神経を介した口腔周囲からの有害信号が原因になっているのであれば、その全身症状は全て難治性疾患と判断されてしまう。自己免疫疾患、パーキンソン氏病、認知症など難治性疾患に対しても脳の機能異常をターゲットにした歯科治療がつまり、「脳歯科療法」の概念が有力な解決法になる可能性があるのです。
